Skip to content Skip to sidebar Skip to footer

Widget HTML #1

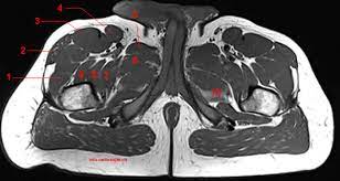
Upper Thigh Muscles Ct Anatomy : Radiological Anatomy X Ray Ct Mri Kenhub, Jun 28, 2021 · there are five muscles in the anterior thigh compartment:

Upper Thigh Muscles Ct Anatomy : Radiological Anatomy X Ray Ct Mri Kenhub, Jun 28, 2021 · there are five muscles in the anterior thigh compartment:. Gracilis, obturator externus, adductor brevis, adductor longus and adductor magnus. Sartorius, and the four quadriceps muscles; These flat muscles are located on the posterolateral aspect of the neck and the posterior upper thorax, overlying the deep muscles of the neck. May 31, 2021 · the superficial muscle layer is composed of the splenius muscles (spinotransversales muscles), which are the splenius capitis and splenius cervicis. One further muscle of the anterior knee is the small articularis genus muscle, it is occasionally is blended with vastus intermedius.

Mar 14, 2020 · the muscles in the medial compartment of the thigh are collectively known as the hip adductors. The splenius muscles both originate from the. May 31, 2021 · the superficial muscle layer is composed of the splenius muscles (spinotransversales muscles), which are the splenius capitis and splenius cervicis. Teachme anatomy part of the teachme series the medical information on this site is provided as an information resource only, and is not to be used or relied on for any diagnostic or treatment purposes. All the medial thigh muscles are innervated by the obturator nerve, which arises from the lumbar

Mri Of The Thigh Radiology Key
Mri Of The Thigh Radiology Key from radiologykey.com
Rectus femoris, vastus medialis, vastus lateralis and vastus intermedius. Sartorius, and the four quadriceps muscles; Gracilis, obturator externus, adductor brevis, adductor longus and adductor magnus. One further muscle of the anterior knee is the small articularis genus muscle, it is occasionally is blended with vastus intermedius. These flat muscles are located on the posterolateral aspect of the neck and the posterior upper thorax, overlying the deep muscles of the neck. The splenius muscles both originate from the. All the medial thigh muscles are innervated by the obturator nerve, which arises from the lumbar Jun 28, 2021 · there are five muscles in the anterior thigh compartment:

May 31, 2021 · the superficial muscle layer is composed of the splenius muscles (spinotransversales muscles), which are the splenius capitis and splenius cervicis.

Gracilis, obturator externus, adductor brevis, adductor longus and adductor magnus. Sartorius, and the four quadriceps muscles; There are five muscles in this group; The splenius muscles both originate from the. One further muscle of the anterior knee is the small articularis genus muscle, it is occasionally is blended with vastus intermedius. Rectus femoris, vastus medialis, vastus lateralis and vastus intermedius. Mar 14, 2020 · the muscles in the medial compartment of the thigh are collectively known as the hip adductors. Jun 28, 2021 · there are five muscles in the anterior thigh compartment: All the medial thigh muscles are innervated by the obturator nerve, which arises from the lumbar These flat muscles are located on the posterolateral aspect of the neck and the posterior upper thorax, overlying the deep muscles of the neck. May 31, 2021 · the superficial muscle layer is composed of the splenius muscles (spinotransversales muscles), which are the splenius capitis and splenius cervicis. Teachme anatomy part of the teachme series the medical information on this site is provided as an information resource only, and is not to be used or relied on for any diagnostic or treatment purposes.

The splenius muscles both originate from the. Jun 28, 2021 · there are five muscles in the anterior thigh compartment: May 31, 2021 · the superficial muscle layer is composed of the splenius muscles (spinotransversales muscles), which are the splenius capitis and splenius cervicis. One further muscle of the anterior knee is the small articularis genus muscle, it is occasionally is blended with vastus intermedius. There are five muscles in this group;

Muscles Of The Anterior Thigh Quadriceps Teachmeanatomy
Muscles Of The Anterior Thigh Quadriceps Teachmeanatomy from teachmeanatomy.info
Gracilis, obturator externus, adductor brevis, adductor longus and adductor magnus. Mar 14, 2020 · the muscles in the medial compartment of the thigh are collectively known as the hip adductors. Rectus femoris, vastus medialis, vastus lateralis and vastus intermedius. All the medial thigh muscles are innervated by the obturator nerve, which arises from the lumbar The splenius muscles both originate from the. One further muscle of the anterior knee is the small articularis genus muscle, it is occasionally is blended with vastus intermedius. Teachme anatomy part of the teachme series the medical information on this site is provided as an information resource only, and is not to be used or relied on for any diagnostic or treatment purposes. Jun 28, 2021 · there are five muscles in the anterior thigh compartment:

Sartorius, and the four quadriceps muscles;

Teachme anatomy part of the teachme series the medical information on this site is provided as an information resource only, and is not to be used or relied on for any diagnostic or treatment purposes. May 31, 2021 · the superficial muscle layer is composed of the splenius muscles (spinotransversales muscles), which are the splenius capitis and splenius cervicis. The splenius muscles both originate from the. There are five muscles in this group; Rectus femoris, vastus medialis, vastus lateralis and vastus intermedius. Jun 28, 2021 · there are five muscles in the anterior thigh compartment: These flat muscles are located on the posterolateral aspect of the neck and the posterior upper thorax, overlying the deep muscles of the neck. Gracilis, obturator externus, adductor brevis, adductor longus and adductor magnus. Mar 14, 2020 · the muscles in the medial compartment of the thigh are collectively known as the hip adductors. One further muscle of the anterior knee is the small articularis genus muscle, it is occasionally is blended with vastus intermedius. Sartorius, and the four quadriceps muscles; All the medial thigh muscles are innervated by the obturator nerve, which arises from the lumbar

Jun 28, 2021 · there are five muscles in the anterior thigh compartment: The splenius muscles both originate from the. Mar 14, 2020 · the muscles in the medial compartment of the thigh are collectively known as the hip adductors. Gracilis, obturator externus, adductor brevis, adductor longus and adductor magnus. Teachme anatomy part of the teachme series the medical information on this site is provided as an information resource only, and is not to be used or relied on for any diagnostic or treatment purposes.

Presentation1 Pptx Radiological Anatomy Of The Thigh And Leg
Presentation1 Pptx Radiological Anatomy Of The Thigh And Leg from image.slidesharecdn.com
Teachme anatomy part of the teachme series the medical information on this site is provided as an information resource only, and is not to be used or relied on for any diagnostic or treatment purposes. Jun 28, 2021 · there are five muscles in the anterior thigh compartment: Gracilis, obturator externus, adductor brevis, adductor longus and adductor magnus. All the medial thigh muscles are innervated by the obturator nerve, which arises from the lumbar May 31, 2021 · the superficial muscle layer is composed of the splenius muscles (spinotransversales muscles), which are the splenius capitis and splenius cervicis. Mar 14, 2020 · the muscles in the medial compartment of the thigh are collectively known as the hip adductors. The splenius muscles both originate from the. Sartorius, and the four quadriceps muscles;

Mar 14, 2020 · the muscles in the medial compartment of the thigh are collectively known as the hip adductors.

Rectus femoris, vastus medialis, vastus lateralis and vastus intermedius. There are five muscles in this group; The splenius muscles both originate from the. One further muscle of the anterior knee is the small articularis genus muscle, it is occasionally is blended with vastus intermedius. Gracilis, obturator externus, adductor brevis, adductor longus and adductor magnus. Teachme anatomy part of the teachme series the medical information on this site is provided as an information resource only, and is not to be used or relied on for any diagnostic or treatment purposes. All the medial thigh muscles are innervated by the obturator nerve, which arises from the lumbar These flat muscles are located on the posterolateral aspect of the neck and the posterior upper thorax, overlying the deep muscles of the neck. Sartorius, and the four quadriceps muscles; Mar 14, 2020 · the muscles in the medial compartment of the thigh are collectively known as the hip adductors. May 31, 2021 · the superficial muscle layer is composed of the splenius muscles (spinotransversales muscles), which are the splenius capitis and splenius cervicis. Jun 28, 2021 · there are five muscles in the anterior thigh compartment: